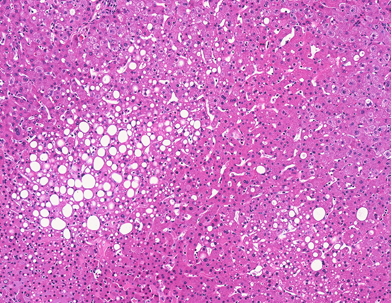
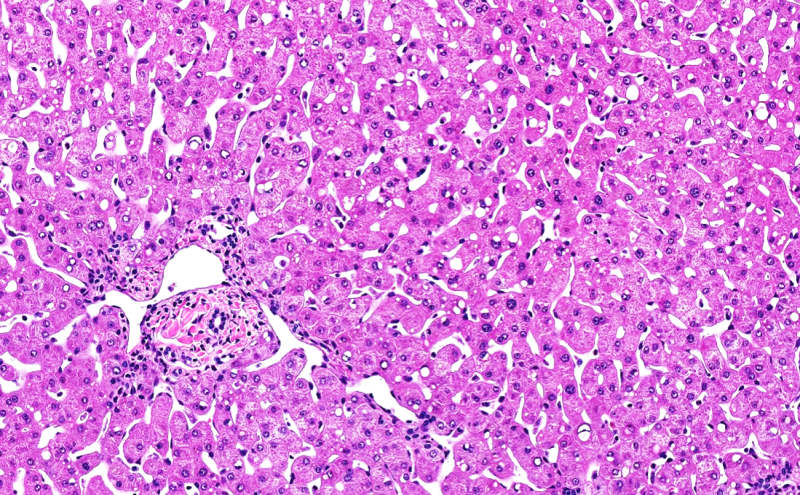
H&E Stained Human Liver Tissue


Body
FFPE Liver Tissue Blocks
LifeNet Health LifeSciences’ provides formalin-fixed paraffin-embedded blocks of human liver tissue across a spectrum of Non-Alcoholic Fatty Liver Disease/Non-Alcoholic Steatohepatitis (NAFLD/NASH) donors. Donor-matched cells and snap frozen tissue samples are also available.
- Donor-matched companion tissue and cell samples
- Donor-matched samples include Primary Human Hepatocytes, Stellate Cells, Kupffer Cells, and Liver Endothelial Cells
- Comprehensive donor medical and social history provided
- Histopathology report includes NAFLD activity score (NAS) along with H&E and Trichrome stained images
- Access to technical expertise and guidance from LifeSciences’ team of scientists
- 15 x 5 x 2.5 mm blocks
- Immunohistochemical grade paraffin-embedded tissue
- Stored at 4°C
- Shipped ambient
- Histopathology assessment of tissue by board-certified pathologist; NAS* and fibrosis stage** provided
*NAFLD (Non-Alcoholic Fatty Liver Disease) score (NAS) was assigned according to the standards of the NASH CRN Scoring System (Hepatology 41: 1313-1321, 2005).
**Inflammation and fibrosis were assessed using standard Batts-Ludwig scoring methodology (Scale, 0-4, American Journal of Surgical Pathology 19: 1409-1417, 1995).
FFPE samples are suitable for a range of applications, including
- Disease Modeling
- DNA, mRNA, and miRNA Profiling
- Gene/Biomarker expression
- Histochemical Staining
- Immunohistochemistry (IHC)
- in situ Hybridization (ISH)
Comprehensive Portfolio of Liver Cells
200+
Lots
0-6
NAS Scores
0-4
Fibrosis Stages